Invisalign®

Before & After Treatment Gallery

Patient 1 - Before
Patient 1 - After
Patient 2 - Before
Patient 2 - After
Patient 3 - Before
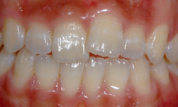
Patient 3 - After

Do you want straighter teeth, but don’t want to deal with braces? Invisalign treatment is a popular alternative that uses a series of clear plastic aligners. These aligners are invisible on the teeth and can be taken out when you need to eat and brush.

Book a consultation with our dentists to find out if Invisalign is an option for you.

Invisalign patient
Invisalign patient

Why Choose Invisalign Clear Aligners?

Invisalign aligners were developed specifically for adults and older teenagers who want to correct orthodontic issues without the hassle and visibility of traditional braces. The aligners work in the same way as braces, but they’re less visible in your mouth and can be taken out when needed. This means:

  • They won’t affect your appearance
  • They won’t restrict your diet
  • They make it easier to brush and floss, and help lower your oral health risks
  • They’re more comfortable to wear, with no metal rubbing in your mouth

Our dentists have been specially trained in the Invisalign system and have helped many patients to correct their bites and enhance their smiles using this treatment. For more information or to book an Invisalign consultation, call our team on 02 9412 3805 or contact us today.

Who can get Invisalign treatment?

Most adults and older teens who want to correct a bite problem or a crooked smile are suitable for Invisalign treatment, but this depends on how much straightening is needed.

Generally, Invisalign can help with orthodontic issues such as overbite, misaligned teeth and gaps between teeth. Our experienced dentists can also use Invisalign for some more complex cases such as underbite, crossbite and crowded teeth. In other cases, we may recommend an alternative such as tooth-coloured braces.

What to expect from Invisalign treatment

If you’re considering Invisalign treatment at Chatswood Dental Centre, our dentists will take images of your mouth that will be used to develop your treatment plan and create your custom aligners. We can also show you a preview of what your new, straighter smile should look like at the end of your treatment.

Each set of Invisalign aligners should be worn for around two weeks before being replaced with the next aligners in the series. Each aligner exerts gentle pressure on the teeth to gradually move them towards their final position.

Depending on how much straightening is needed, Invisalign treatment may take anywhere from 6 months to 2 years. Our dentists will arrange regular check-ups so they can monitor your progress and provide your next sets of aligners across your smile journey.

Book an Invisalign consultation

If you’re ready to straighten your teeth, contact our team at Chatswood Dental Centre to book a consultation and evaluate your suitability for Invisalign. Call our clinic on 02 9412 3805 or book an appointment online.

* Invisalign® aligners are a registered medical device. Always read the label and follow and instructions for use from your dentist.

About Chatswood Dental Centre


2000+

Regular patients/year

49

Years established

Where to Find Us

Address:  2A Blakesley Street, Chatswood, NSW, 2067

Working Hours

Monday 8:00am - 5:00pm
Tuesday 8:00am - 5:00pm
Wednesday 8:00am - 5:00pm
Thursday 8:00am - 5:00pm
Friday 9:00am - 1:00pm
Saturday 8:00am - 5:00pm
Sunday & Public Holidays: Closed

 
02 9412 3805